Por lo general, los dientes tienen que contactar lateralmente mediante lo que se denomina el “punto de contacto” para evitar que los restos de comida se acumulen entre las piezas dentales.
Algunas personas poseen un espacio entre ellos que pueden causarles algunas complicaciones, tanto funcionales como estéticas. Es lo que se denomina diastema dental.
¿Qué es un diastema dental?
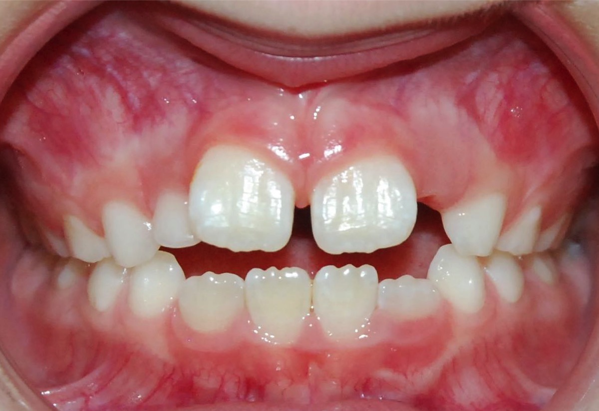
El diastema dental es un espacio más grande de lo normal entre dos piezas dentales. Aunque este hueco puede encontrarse entre cualquier par de dientes o muelas, se aprecia de manera habitual en los incisivos superiores centrales.
Si bien suele ser frecuente verlo en dientes de leche, este hueco tiende a desaparecer a medida que van creciendo y adquiriendo su dentición definitiva. En los adultos también pueden presentarse casos que deben ser tratados para evitar problemas futuros.
Causas de la aparición de diastemas
Existes numerosas causas que pueden provocar los diastemas en los pacientes:
- Incisivos laterales pequeños. Algunas personas, debido a causas genéticas, poseen piezas dentales pequeñas (microdoncia) que provocan la aparición de diastemas para tratar de cerrar el hueco.
- Falta de pieza dental. Cuando un paciente pierde una pieza dental, las que rodean ese hueco tienden a moverse y rellenar el espacio.
- Malposición de los dientes. Si un diente está mal posicionado (girado, no colocado en su sitio), es posible que se formen huecos entre dos piezas.
- Maxilar desproporcionado. Si es demasiado amplio para los dientes, esta desproporción hace que las piezas no lleguen a ocupar todo el ancho del hueso, produciendo los espacios.
- Frenillo labial superior. Cuando este es demasiado grueso y crece de forma anómala, baja hasta los dos incisivos superiores creando la separación entre ellos.


Cómo pueden afectar a la boca los diastemas
Mientras que el diastema dental no suele ser problemático en niños ya que suele tender a desaparecer, en adultos sí que debe prestarse especial atención a su causa cuanto antes para conocer el tratamiento más adecuado.
La recomendación general es corregir el diastema para evitar futuras complicaciones, como la acumulación de placa que puede derivar en caries.
Además, para gozar de dientes sanos, es importante mantener una buena higiene, ya que es mucho más fácil que se acumulen bacterias o comida en el espacio entre las piezas dentales.
El diastema también puede derivar en otra clase de problemas como lesiones en las encías (al estar más expuestas), problemas de mordida y fonación, o molestias musculares y cervicales de cuello.
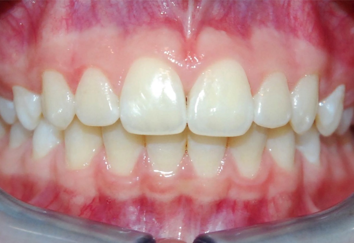
Cómo puede corregir la ortodoncia los diastemas
Aunque el diastema no presenta riesgos para la salud oral, muchos pacientes optan por someterse a tratamientos como la ortodoncia para mejorar el aspecto de su sonrisa. Los dientes se desplazan con el tiempo y las encías se retraen, por lo que los diastemas pueden aparecer con los años o pueden aumentar los ya existentes.
Como hemos visto, en ocasiones el diastema suele ser parte de una serie de problemas de alineación que pueden corregirse con un tratamiento de ortodoncia. Este es el más indicado ya que hace que los dientes se muevan de manera paulatina, permitiendo cerrar los espacios entre los dientes.
Una vez finalizado el movimiento de los dientes, es preciso su estabilización con una retención y evitar así que los dientes vuelvan a su posición anterior.
Existen diferentes tipos de ortodoncia que se adaptan al caso del paciente, según el tipo, la causa del diastema y las alternativas que se puedan ofrecer.
- Brackets autoligables. Al contar con un sistema de autoligado, este tipo de aparatos generan una fricción menor a los brackets convencionales.
- Ortodoncia Invisalign. Diseñado previamente por ordenador, son cómodos, transparentes, removibles e higiénicos.
- Brackets transparentes. Su color se adapta casi al completo al tono del esmalte dental, por lo que quedan fácilmente camuflados en la dentadura.
Detectar a tiempo posibles causas de los diastemas puede evitar problemas futuros. Pide cita en nuestras clínicas de Valencia, Albacete o Manresa.