Desde los primeros años de nuestro planeta, los cambios y la evolución han sido constantes. Tanto es así que la historia está repleta de hitos excepcionales. Si hablamos de acontecimientos históricos, probablemente escogeríamos el descubrimiento del fuego, de la electricidad o la creación de Internet.
En cada sector se ha ido evolucionando a un ritmo vertiginoso, dando lugar a la sociedad que conocemos hoy en día. Desde Raga Ortodoncia queremos que conozcas un poco mejor los mayores hitos y curiosidades relacionados con la Odontología.

¿Sabías que la primera pasta dentífrica se creó hace 4000 años?
Lógicamente, no hablamos de una pasta dentífrica como las que solemos utilizar, pero ya en esa época los egipcios crearon una especie de pasta dental con el objetivo de limpiar sus dientes.
En nuestros días, son cientos las marcas y modelos de dentífricos que podemos encontrar para mejorar nuestra salud dental. En Raga Ortodoncia, siempre recomendamos a nuestros pacientes cepillarse los dientes tras cada comida para evitar la acumulación de restos de alimentos y de placa bacteriana.
Además, complementamos estos consejos y pautas con limpiezas dentales profesionales. ¡La mejorar forma de garantizar una buena higiene dental!

¿Sabías que hace casi 3000 años comenzó el camino hacia la ortodoncia?
Se tiene constancia de que en el año 700 a. C. los etruscos utilizaban alambres y otras herramientas para conseguir sostener los dientes.
La ortodoncia, tal y como hoy la conocemos, es uno de los tratamientos dentales que más realizamos en nuestras clínicas de Valencia, Albacete y Manresa. En Raga Ortodoncia estamos especializados en tratamientos de ortodoncia para niños, adolescentes y adultos, utilizando las técnicas de ortodoncia más avanzadas del mundo.

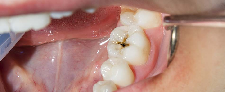
¿Sabías que la caries se trata desde hace 300 años?
De la mano del francés Pierre Fauchard, se inventó hace 300 años el empaste dental para el tratamiento de la caries, la enfermedad dental más común. Hace 5 décadas, es Ray Bowen quien mejora la técnica de obturación, utilizando la primera resina de composite.
A día de hoy, además de utilizarse en las obturaciones, la resina de composite es clave para los tratamientos de estética dental como las carillas dentales de composite.
En nuestras clínicas dentales realizamos tratamientos estéticos con carillas dentales para corregir imperfecciones en los dientes, como dientes demasiado pequeños, fracturados, decolorados o con formas irregulares.

¿Sabes quién permitió mejorar los diagnósticos dentales?
El descubrimiento de los rayos X por parte del físico alemán Wilhelm Conrad, supuso una gran revolución para todos los sectores y el dental no fue una excepción.
Tras muchos avances, a día de hoy la radiología es parte imprescindible del sector dental para poder elaborar los diagnósticos dentales y tener más información sobre las características óseas y bucodentales de los pacientes.
En nuestras clínicas, destacamos por ofrecer a nuestros pacientes el mejor diagnóstico posible gracias a los TAC digitales de última generación. Detectamos problemas dentales y periodontales en etapas tempranas, permitiéndonos planificar los tratamientos de forma efectiva.

¿Sabes cuándo se puso el primer implante dental?
Durante la historia de la humanidad, se han realizado numerosas pruebas para solventar uno de los problemas más comunes: la pérdida de dientes. Hubo que esperar hasta mediados del siglo pasado para que el sueco Per-Ingvar Brånemark descubriera el famoso proceso de osteointegración, colocando el primer implante dental en el año 1965.
Los implantes dentales son en la actualidad la mejor solución para reemplazar a los dientes ausentes. En las clínicas Raga, trabajamos con implantes dentales de titanio de alta calidad, asegurando el éxito de la intervención.
La seguridad y fiabilidad de este material y la sensación que aporta al paciente (muy similar a la de los dientes naturales), hace que sean muchas las personas que recurren a esta intervención para solucionar su ausencia de dientes.
El sector dental lleva más de 4000 años en continua evolución. En las clínicas Raga Ortodoncia queremos estar a la última, incorporando las técnicas más innovadoras para poder ofrecer un servicio dental inigualable.