Caso Clínico de Marta

Caso Clínico de Marta. Foto frontal de su sonrisa después del tratamiento.

Marta empezó el tratamiento de ortodoncia con brackets en el verano del 2019 y al cabo de 1 año de tratamiento coordinando arcadas para preparar a la paciente para la cirugía, la operaron con una cirugía de retrusión de la mandíbula para corregir la Clase III y encajar la oclusión con el maxilar. Después de la operación siguió con la ortodoncia con brackets durante un tiempo para acabar de ajustar.

Marta ha quedado muy satisfecha con su nueva mordida y no se arrepiente de todo el proceso que ha vivido para conseguir estabilidad y salud bucal.

«He ganado en calidad de vida»

Paciente

Adulto

Duración

2 años

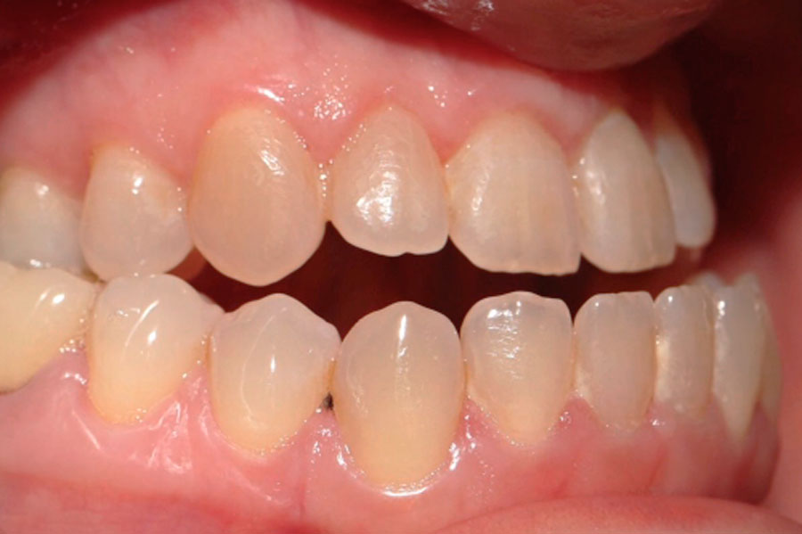
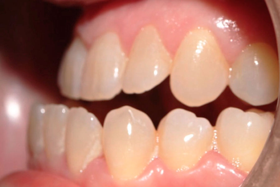
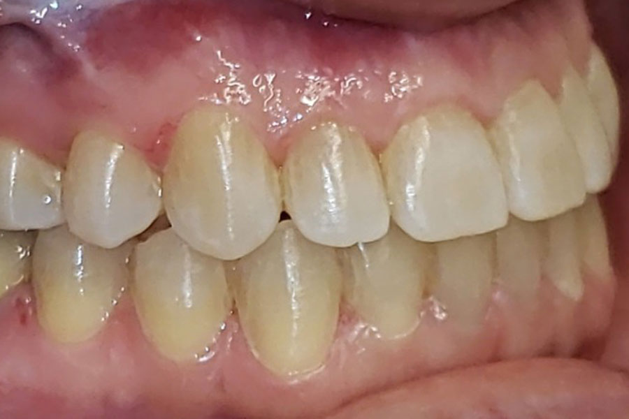
Caso clínico de Marta. Foto de sus dientes antes del tratamientoCaso clínico de Marta. Foto de sus dientes después del tratamiento

Después

Resumen de privacidad

Esta web utiliza cookies para que podamos ofrecerte la mejor experiencia de usuario posible. Su información se almacena en tu navegador y realiza funciones tales como reconocerte cuando vuelves a nuestra web o ayudar a nuestro equipo a comprender qué secciones de la web encuentras más interesantes y útiles.