
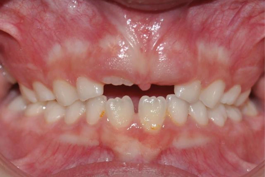
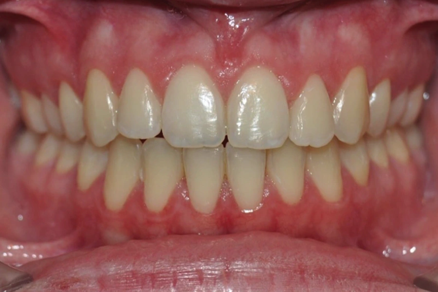
Carla es una paciente que ha necesitado un tratamiento de ortopedia y ortodoncia en 2 fases para corregir la función de su boca y mejorar su sonrisa.
La 1ª fase la inició con 7 años mediante un aparato disyuntor para corregir la compresión y el apiñamiento, también con impactación de los molares superiores. Tras 18 meses de tratamiento, descansamos de aparatos para seguir controlando el crecimiento. Posteriormente, a los 11 años, comenzamos la 2ª fase con ortodoncia con brackets en las 2 arcadas durante 20 meses.

