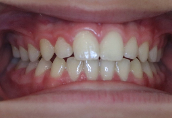
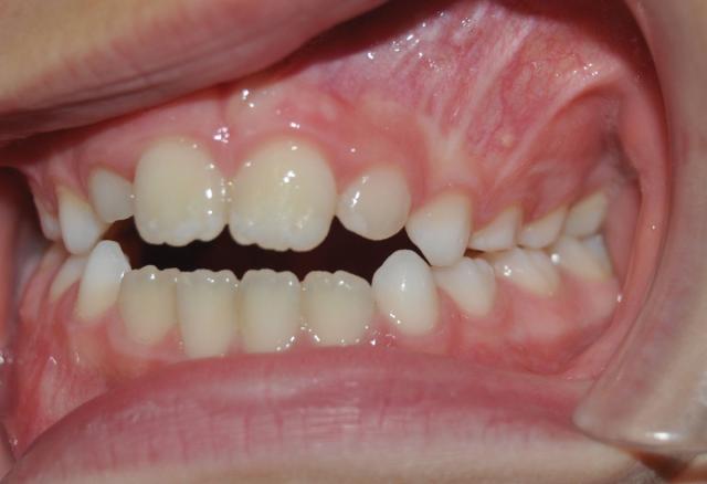
Caso Clínico de Martí

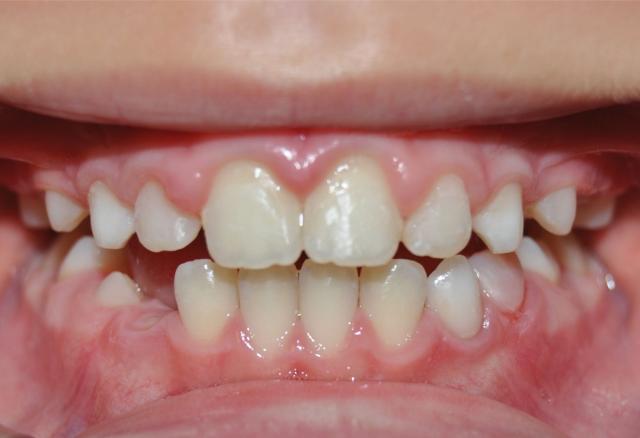
Resultado caso clínico Martí

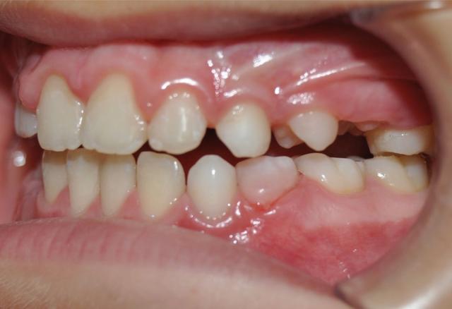
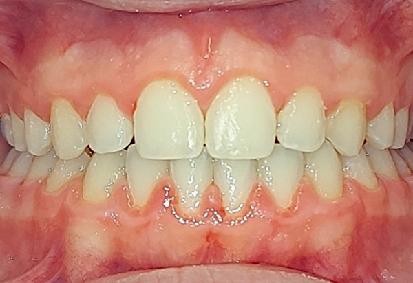
Martí es un paciente al que se le ha realizado un tratamiento de ortodoncia muy completo, ya que también tuvo que hacer trabajo de logopeda con motivo de su mordida abierta y llevar máscara facial para corregir la tendencia a CIII.

Paciente

Niño -Adolescente

Duración

6 años

Caso Clínico de Martí. Foto frontal antes del tratamientoCaso Clínico de Martí. Foto frontal después del tratamiento

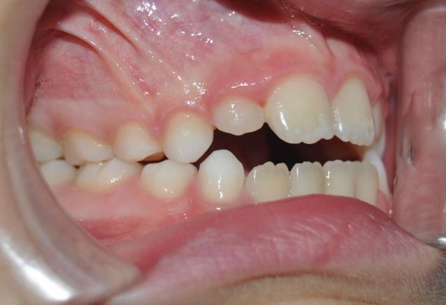
Fase 1 Antes

Fase 1 Después

Fase 2 Antes

Fase 2 Después

Resumen de privacidad

Esta web utiliza cookies para que podamos ofrecerte la mejor experiencia de usuario posible. Su información se almacena en tu navegador y realiza funciones tales como reconocerte cuando vuelves a nuestra web o ayudar a nuestro equipo a comprender qué secciones de la web encuentras más interesantes y útiles.